언론 속에서 만나는 강북연세병원입니다.
- 신문,방송 등 언론속에 비춰진 강북연세병원을 만나보세요.
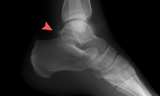
| [건강설계]아킬레스건염일까? 후방충돌증후군일까? | |||||
| 작성자 | 강북연세병원 | 조회수 | 86 | 작성일 | 2016-10-05 16:42:39 |
|---|---|---|---|---|---|
[건강설계]아킬레스건염일까? 후방충돌증후군일까? |
|||||
| 링크 | http://weekly.khan.co.kr/khnm.html?mode=view&code=115&artid=201610041552251&pt=nv [LINK:19] | ||||
- 이전글
- 청소년·여성의 척추가 휘고 있다… `척추측만증`2016.10.14
- 다음글
- 바람만 스쳐도 아픈 ‘통풍’···원인은 ‘요산’2016.10.05


































