언론 속에서 만나는 강북연세병원입니다.
- 신문,방송 등 언론속에 비춰진 강북연세병원을 만나보세요.
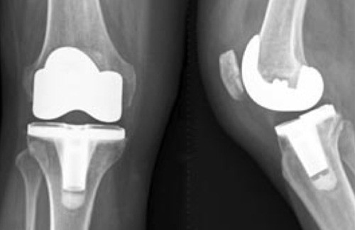
| [건강설계]매우 까다로운 인공관절 재치환술 | |||||
| 작성자 | 강북연세병원 | 조회수 | 37 | 작성일 | 2016-06-30 10:25:43 |
|---|---|---|---|---|---|
[건강설계]매우 까다로운 인공관절 재치환술 |
|||||
| 링크 | http://weekly.khan.co.kr/khnm.html?mode=view&code=115&artid=201606271512541&pt=nv [LINK:14] | ||||
- 이전글
- 상처 입은 발, 무시하면 큰일 나요…당뇨 환자, 건강한 여름 나기2016.06.30
- 다음글
- [건강설계]안면 경련과 안면통은 사촌 사이2016.06.28


































